লাইফস্টাইল

শ’রীরের যে সমস্যা থাকলে ভুলেও রসুন খাবেন না, জেনে নিন

শ’রীরের যে সমস্যা থাকলে ভুলেও রসুন খাবেন না, জেনে নিন রসুন আমাদের শরীরের জন্য নানাভাবে উপকার বয়ে আনে। বেশিরভাগ বাড়িতেই রসুনের ব্যবহার হয়ে থাকে। রসুনের স্বাদ ও সুগন্ধের জন্য প্রচুর পরিমাণে মানুষ রসুন খেতে পছন্দ করেন। তবে রসুনের মধ্যে এমন কয়েকটি বড় গুণ আছে যার জন্যই রসুনকে ওষুধের মত ব্যবহার করা হয়ে থাকে। রসুনের ব্যবহার […]

শ’রীরের যে সমস্যা থাকলে ভুলেও রসুন খাবেন না, জেনে নিন Read More »

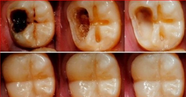
দাঁ’তের গ’র্ত কেন হয়, আর গ’র্ত হলে আপনি কী করবেন জেনে নিন

আমাদের অতি মূল্যবান সম্পদ দাঁত। বর্তমানে দাঁত ক্ষয় ও দাঁতে ছিদ্র হওয়া একটি সাধারণ সমস্যা হয়ে দাঁড়িয়েছে। সাধারণত শিশু, টিনএজার ও বয়স্কদের এই সমস্যাটি বেশি হতে দেখা যায়। ব্যাকটেরিয়ার সংক্রমণ ের ফলেই দাঁত ক্ষয় হয়ে থাকে। ঘন ঘন স্ন্যাক্স ও ড্রিঙ্কস খাওয়া, অনেকক্ষণ যাবত দাঁতের মধ্যে খাবার লেগে থাকা, ফ্লোরাইড এর অপর্যাপ্ততা, মুখ ড্রাই থাকা,

দাঁ’তের গ’র্ত কেন হয়, আর গ’র্ত হলে আপনি কী করবেন জেনে নিন Read More »

কলার সুতার মতো অংশটি খেলে যা ঘটবে, অনেকেই জানেন না

শরীরের জন্য প্রয়োজনীয় পটাশিয়ামের একটি চমৎকার উৎস কলা। তাছাড়া নাস্তার জন্য খুবই ভালো একটি খাবার কলা। তবে এই কলা খাওয়ার সময় একমাত্র বিরক্তির জিনিসটি হচ্ছে, কলায় লেগে থাকা সুতাকৃতির চামড়া। যেটিকে ‘ফ্লোয়েম বান্ডেল’ নামে অভিহত করা হয়ে থাকে। খোসা ছাড়ানোর পর কলায় ফ্লোয়েম বান্ডেল লেগে থাকতে দেখা যায়। যথেষ্ট বিরক্তি সহকারে কলা থেকে এই ফ্লোয়েম

কলার সুতার মতো অংশটি খেলে যা ঘটবে, অনেকেই জানেন না Read More »

৫০ বছরের প্রথা ভাঙল সৌদি আরব, স্বাধীনতা পাচ্ছেন কোটি প্রবাসী শ্রমিক

মধ্যপ্রাচ্যের দেশ সৌদি আরব এক যুগান্তকারী পদক্ষেপ নিয়েছে। আনুষ্ঠানিকভাবে বাতিল করেছে তাদের ৫০ বছরের পুরোনো ঐতিহাসিক কাফালা (পৃষ্ঠপোষকতা) ব্যবস্থা। বহুদিন ধরে এই প্রথার কারণে বিদেশি শ্রমিকদের কাজ ও বসবাস নির্ভর করত নির্দিষ্ট নিয়োগকর্তার ওপর। এই বড় সংস্কারের ফলে প্রায় ১ কোটি ৩০ লাখ বিদেশি শ্রমিক সরাসরি উপকৃত হবেন। যাদের বেশিরভাগই দক্ষিণ ও দক্ষিণ-পূর্ব এশিয়া থেকে

৫০ বছরের প্রথা ভাঙল সৌদি আরব, স্বাধীনতা পাচ্ছেন কোটি প্রবাসী শ্রমিক Read More »

যেসব খাবার খেলে হু হু করে কমে যায় পু’রুষের শু’ক্রাণু, জেনে নিন

যেসব খাবার খেলে হু হু করে কমে যায় পু’রুষের শু’ক্রাণু, জেনে নিন নিজস্ব প্রতিবেদক: অফিসের বিরতি, বন্ধুদের আড্ডা কিংবা সন্ধ্যার নাশতা—আল্ট্রা প্রসেসড ফুড বা অতি-প্রক্রিয়াজাত খাবার এখন আমাদের জীবনের নিত্যসঙ্গী। সহজে পাওয়া যায়, ঝটপট খাওয়া যায় এবং স্বাদে মজাদার হওয়ার কারণে মানুষ দিন দিন এই ধরনের খাবারের প্রতি আসক্ত হচ্ছে। কিন্তু এই সুবিধার আড়ালে লুকিয়ে

যেসব খাবার খেলে হু হু করে কমে যায় পু’রুষের শু’ক্রাণু, জেনে নিন Read More »

ভোরবেলা স’হবা’স করার ৭টি অবিশ্বাস্য উপকারিতা জেনে নিন

ভোরবেলা সহবাস করার ৭টি অবিশ্বাস্য উপকারিতা জেনে নিন। বিশেষজ্ঞদের মতে ভোর বেলায় সহবাসের ফলে রোগ প্রতিরোধ ক্ষমতা(Immunity) বৃদ্ধি ছাড়াও অনেক উপকার পাওয়া যায়। রাত বা অন্য সময়ের চেয়ে ভোরে মিলনের ফলে হৃদরোগে আক্রান্ত হওয়ার সম্ভাবনা অনেকটাই কমে যায় বলে জানান বিশেষজ্ঞরা। এরই সাথে সাথে রোগ প্রতিরোধ ক্ষমতাও অনেক বেড়ে যায়। এসময় নারী এবং পুরুষ উভয়েরই

ভোরবেলা স’হবা’স করার ৭টি অবিশ্বাস্য উপকারিতা জেনে নিন Read More »

কমতে কমতে এবার যত হলো রড-সিমেন্টের দাম

খুঁড়িয়ে খুঁড়িয়ে চলছে রড-সিমেন্ট শিল্প খাত। নির্মাণশিল্পের এ খাতের ভরা মৌসুমেও ক্রেতাদের কাছ থেকে আসছে না কাক্সিক্ষত সাড়া। ফলে চাহিদা ও উৎপাদনের গ্রাফ দুটিই এখন নিম্নমুখী। ব্যবসায়ীদের দাবি সরকারি-বেসরকারি বড় এবং মাঝারি নির্মাণ প্রকল্প বন্ধ থাকায়, নতুন করে প্রকল্প শুরু না করার প্রভাব পড়েছে এ খাতে। এ অবস্থা চলতে থাকলে চরম সংকটে পড়বে এ শিল্পের

কমতে কমতে এবার যত হলো রড-সিমেন্টের দাম Read More »

বাংলাদেশে তরুণদের মধ্যে দ্রুত বাড়ছে ব্লাড ক্যা’ন্সার! অবহেলা নয়, ল’ক্ষ’ণ চিনে রাখুন এখনই

বাংলাদেশে তরুণদের মধ্যে দিন দিন বাড়ছে ব্লাড ক্যান্সার বা লিউকেমিয়ার প্রাদুর্ভাব। আগে মূলত বয়স্কদের মধ্যে এ রোগ দেখা যেত, কিন্তু এখন ১৮ থেকে ৩৫ বছর বয়সীদের মধ্যেও দ্রুত ছড়িয়ে পড়ছে। বিশেষজ্ঞদের মতে, দূষণ, অস্বাস্থ্যকর খাদ্যাভ্যাস, মানসিক চাপ ও জিনগত কারণ এর পেছনে বড় ভূমিকা রাখছে। ব্লাড ক্যান্সারের প্রাথমিক লক্ষণ ব্লাড ক্যান্সারের শুরুতে বেশ কিছু লক্ষণ

বাংলাদেশে তরুণদের মধ্যে দ্রুত বাড়ছে ব্লাড ক্যা’ন্সার! অবহেলা নয়, ল’ক্ষ’ণ চিনে রাখুন এখনই Read More »

স’হবাসের আগে মাত্র ১ টুকরা সেবন করুন, চলবে টানা ১ ঘন্টা

পুরষ- নারীর যৌন ক্ষমতা বৃদ্ধি করতে যে যে খাবার খাওয়া উচিত, শরীরের স্বাস্থ্য ঠিক রাখতে প্রয়োজন সঠিক সময়ে সঠিক খাদ্য। ওজন কমানো সম্প্রতিককালে নিউ ট্রেন্ডের অন্তর্গত। যা করতে গিয়ে প্রয়োজনীয় খাবারকে দূরে ঠেলে দেয় মানুষ। এতে ওজন হয়ত কমে কিন্তু সুখী দাম্পত্য জীবনে কলহ ডেকে আনে। বৈবাহিক সম্পর্ক ঠিক রাখতে, প্রথমেই যেটা প্রয়োজন তা হল

স’হবাসের আগে মাত্র ১ টুকরা সেবন করুন, চলবে টানা ১ ঘন্টা Read More »

ডায়াবেটিস রোগীদের জন্য সুখবর, আর লাগবে না ইনজেকশন

চিকিৎসা বিজ্ঞানকে নতুন দিশা দেখাচ্ছে এক চমকপ্রদ গবেষণা। বিজ্ঞানীরা সফলভাবে এক মহিলার নিজস্ব স্টেম সেল ব্যবহার করে তার টাইপ ১ ডায়াবেটিস উল্টে দিয়েছেন। এই চিকিৎসায় প্যানক্রিয়াসের ইনসুলিন উৎপাদনকারী কোষ পুনর্জন্ম লাভ করেছে, ফলে রোগীর শরীর স্বাভাবিকভাবে রক্তে শর্করার মাত্রা নিয়ন্ত্রণ করতে সক্ষম হচ্ছে। এর ফলে আজীবন ইনজেকশন নেওয়ার প্রয়োজন আর নেই। আমেরিকান ডায়াবেটিস অ্যাসোসিয়েশনের গবেষকরা

ডায়াবেটিস রোগীদের জন্য সুখবর, আর লাগবে না ইনজেকশন Read More »

Scroll to Top